1)Die Untersuchung der hinteren Augenabschnitte erfolgt bei adulten Katzen möglichst in vollständiger Mydriase
Wie sollte eine ophthalmologische Untersuchung - im Bezug auf den Zustand des Patienten - idealerweise durchgeführt werden?
Wo entsteht eine latente FHV-1-Infektion?
Die häufigsten Ursachen einer Uveitis bei der Katze sind:
Welche der folgenden Aussagen ist richtig?
Welcher der folgenden Tests ist ein Sehtest?
Von welcher der folgenden Katzenrassen ist bekannt, dass sie an einer generalisierten progressiven Netzhautatrophie aufgrund einer Photorezeptordystrophie leiden?
Welche der folgenden Aussagen trifft zu? Eine Spektakulopathie oder Dysekdysis...
Welche Art von Neoplasie tritt bei der Katze im Bereich der Augenlider nur sehr selten auf?
Welche der folgenden Strukturen ist in einem gesunden Auge nicht transparent?
1)Welche anatomische Struktur am Auge wird als Tarsus bezeichnet?
Welche Augenveränderungen werden bei einer Progressiven Retinaatrophie (PRA) nicht erwartet?
Welcher Erreger aus dem Katzenschnupfenkomplex verursacht Epitheldefekte in der Hornhaut
Ein erhöhter Tonus in welchem Muskel verursacht Blepharospasmus und kann zu spastischem Entropium
Eine sogenannte Reflexuveitis ist eine entzündliche Veränderung des Augeninneren. Wodurch wird diese verursacht?
Ordnen Sie die aufgelisteten Virustatika nach absteigender Effektivität gegen das Feline Herpesvirus (FHV-1).
1) Ein Hornhautödem ist häufig das einzige Symptom folgender Erkrankung:
Welcher der folgenden Filter wird zur Untersuchung des Auges nach der Eingabe von Fluoreszin verwendet?
Die Hardersche Drüse beim Kaninchen ist eigentlich ein Teil welcher anderen Drüse?
Welches der folgenden klinischen Symptome wird am ehesten mit einer akuten Uveitis bei Katzen assoziiert?
Welche der folgenden Aussagen über den Augeninnendruck bei einem Hund ist richtig?
Was ist ein Mikrophthalmus?
Ein älterer West Highland White Terrier mit idiopathischer Lungenfibrose leidet in seinem verbliebenen rechten Auge unter einem primären Glaukom (das linke Auge wurde aufgrund eines irreversiblen Glaukoms bereits enukleiert).
Welche topische Medikamentenkombination wäre am besten geeignet?
Welche der folgenden Lichtquellen ist nicht geeignet, um den Pupillenlichtreflex oder den Blendreflex zu beurteilen?
Was ist richtig - das dritte Augenlid der Vögel:
Die primäre Linsenluxation beim Hund
Welches sind die drei Phasen der Heilung des Hornhautepithels in der richtigen Reihenfolge?
Welche Schicht der Netzhaut bildet die äußere Blutschranke?
Woher entspringen die Pigmentstränge bei einer persistierenden Pupillarmembran (PPM)?
Auf welcher Ebene kommt es häufig zu einer Netzhautablösung?
1)Welche Aussage über das Vorkommen von Katarakten bei der Katze ist richtig?
Ein perforiertes Hornhautulkus ...
Vor einer Katarakt-OP sollte(n) ...
1)Was kann eine konjunktivale Hyperämie hervorrufen?
Erbliche Schäden welcher Zellen der Netzhaut sind Ursprung der pred - Form der Progressiven Retinaatrophie (PRA)?
Was ist typisch für ein Ektropium?
Ein 3-jähriger Akita wird mit beidseitiger Miosis, Kammerwasserflare und Depigmentierung der Augenlider und des Nasenplanums vorgestellt. Was ist die wahrscheinlichste Diagnose?
Wie blinzelt der Gargoyle-Gecko?
Welches Verfahren ist gut geeignet, um die Tränenproduktion bei Kleinsäugern zu messen?
Welche Größe sollte Nahtmaterial haben, um im periokulären Bereich für Lidchirurgie eingesetzt zu werden?
Was ist die wahrscheinlichste Differentialdiagnose für eine 14-jährige Europäsche Kurzhaarkatze mit akuter Blindheit und bilateraler Netzhautablösung?
Welche der folgenden Aussagen ist wahr?
Was ist das erste Purkinje-Sansonsche-Reflexbild?
Wann sollten Sie eine Probe für die Bakteriologie entnehmen?
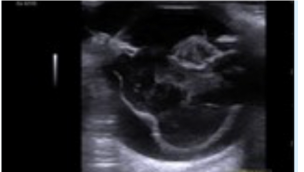
Ultraschall des linken Auges eines Patienten mit Diabetes Mellitus und einer bilateralen sekundären Katarakt (siehe Foto). Die Linse ist intumeszent (geschwollen) was welche schwere Komplikation zur Folge haben kann?
Ein 11-jähriger kastrierter Kater wird mit einem langsam fortscheitenden Exophthalmus des linken Auges vorgestellt, das sich nicht reponieren lässt. Ein MRT-Scan deutet auf ein orbitales Neoplasma hin. Wie ist wahrscheinlich die Prognose?
Wie erhält die Kornea Sauerstoff?
Welche der folgenden Aussagen zur linseninduzierten Uveitis durch E. cuniculi ist korrekt?
Zur Korrektur eines einfachen Entropiums wird häufig die Celsus-Hotz Technik eingesetzt. Was zeichnet diese Operation aus?
Welcher Nerv ist die Afferenz des Pupillenlichtreflexes?
Welche der folgenden Therapieoptionen hat keine hemmende Wirkung auf das Einschmelzen der Hornhaut durch Kollagenasen?
Welches Gefäßmuster der Netzhaut haben Vögel?

Welche der folgenden Anomalien kann auf dem Ultraschallbild dieses Hundes erkannt werden?
Welche der folgenden Krankheiten kann bei Katzen am ehesten eine Sehnervenentzündung verursachen?
Wie hoch ist der physiologische Augeninnendruck bei Katzen?
Welchen Nachteil hat polyfilamentes Nahtmaterial gegenüber monofilamentem Nahtmaterial?
1)Für eine Trichiasis von den Oberlider aufgrund loser Kopfhaut eignet sich welcher chirurgische Eingriff am ehesten für eine langfristige Korrektur?
Was steckt bei Siamkatzen in der Regel hinter einem pendulären Nystagmus?
Wo würden Sie eine zytologische Probe von einem Hornhautulkus entnehmen?
Welche primäre Tumore treten beim Hund am Häufigsten am Lidrand auf?
Bei welcher Erkrankung der Lider der Katze verwendet man zur chirurgischen Korrektur die OP-Methode nach Celsus-Hotz an?
Welche Veranderungen erwarten Sie bei einer Katze mit einer Chorioretinitis, welche durch Mykobakterien verursacht wird?
Welche der folgenden Aussagen über Dacyrocystitis beim Kaninchen ist korrekt?
Ein 5-jähriger Jack Russell Terrier wird mit einer vorderen Linsenluxation vorgestellt. Warum ist eine primäre Linsenluxation in der Regel ein chirurgischer Notfall? Weil die Linse in der vorderen Augenkammer…
Wann ist das Einleiten einer zytologischen Untersuchung kein sinnvoll eingesetztes diagnostisches Verfahren?
1)Der Augenuntersuchungsgang für Exoten ist ....
Wie nennt man eine fehlerhafte Häutung der Brille bei Schlangen?
1)Ein junger Kater wird mit einer Hornhautperforation und einem Irisprolaps im rechten Auge vorgestellt. Die zytologische Untersuchung der Hornhaut zeigt Epithelzellen mit reichlich Neutrophilen und intrazellulären Kokken.
Welches topische antibiotische Präparat wäre am meisten geeignet?
Was ist ein Hyposphagma?
Was ist Distichiasis?
Die Gabe von Enrofloxacin kann bei Katzen eine Degeneration der Netzhaut zur Folge haben. Welche der folgenden Faktoren führt nicht zu einem erhöhten Risiko der
Netzhautdegeneration?
Welches der folgenden Symptome wird in der Regel nicht bei einem Patienten mit akutem Primärglaukom erwartet?
1)Wie hoch ist bei einer Proptosis bulbi bei korrekter Versorgung die Wahrscheinlichkeit für den Erhalt des Visus?
1) Ein essenzieller Bestandteil der Uveitistherapie ist:
Welche Augentropfen sollten Sie verwenden, um die Pupille für die Untersuchung des Augenhintergrunds zu erweitern?
Sie untersuchen eine Perserkatze mit einem tiefen Hornhautulkus. Welche Diagnostischen Verfahren führen Sie in welcher Reihenfolge durch?
Welche Antibiotika sind potenziell retinotoxisch für die Katze?
Welche der folgenden Aussagen ist nicht korrekt?
Welche primären Tumore sind die Häufigsten intraokularen Tumore bei der Katze?
3) Was wird durch den sog. „Corneal Touch Threshold" bestimmt?
Wie äußert sich der Ausfall der Blut-Retina-Schranke klinisch?
Bindehautentzündungen bei Katzen sind häufig. Welcher der folgenden Erreger ist in der Regel keine Ursache für eine primäre Bindehautentzündung bei dieser Tierart?
Wann sind kortikosteroidhaltige Augentropfen bei Kleinsäugern kontraindiziert?
Was ist die häufigste Ursache für Katarakte bei Katzen?
Welche der folgenden Aussagen ist korrekt?
Die Keratitis pigmentosa ...
Welche Sondenfrequenz eignet sich am besten für den allgemeinen ophthalmologischen Ultraschall?
Was ist das typische, klinische Erscheinungsbild eine Konjunktivitis follicularis?
Wie kann man die Tiefe eines Hornhautulkus am besten beurteilen?
Welche Hirnnerven sind afferent und efferent am Blend-bzw. Dazzlereflex beteiligt?
1) Sie untersuchen einen Shih Tzu mit einem tiefen Korneaulkus. Welche diagnostischen Verfahren führen Sie in welcher Reihenfolge durch?
Welches der folgenden Tiere hat eine holangiotische Netzhaut?
Welches Medikament ist für die Augeninnendrucksenkung bei einer anterioren Linsenluxation kontra-indiziert?
1)Welche der folgenden Fundusveränderungen wird nicht im Zusammenhang mit der Collie-Augen-Anomalie (CEA) beschrieben?
Was ist die häufigste okuläre Manifestation der Toxoplasmose bei der Katze?
Wo befindet sich der Ziliarspalt?
Was ist die korrekte Bezeichnung für eine erworbene Vergrößerung des Augapfels?
Wann sollte bei der Augenuntersuchung eine Fluoreszinfärbung durchgeführt werden?
Welche der folgenden Aussagen in Bezug auf die als Bindehautüberwucherung bekannte Erkrankung des Kaninchens ist FALSCH?
Welche Zusammenhänge bestehen zwischen Ultraschallfrequenz, Auflösung und Eindringtiefe beim Ultraschall von Auge und Orbita?
Welche Struktur trägt beim Hund am meisten zur Brechkraft des Auges bei?
Welcher okuläre Reflex/Antworttest wird kortikal verarbeitet?
Welcher Mangel führt bei einer Katze zu einer Retinopathie, die initial die Area centralis betrifft und sich schließlich über die gesamte Netzhaut ausbreitet und zu einer generalisierten Atrophie der Netzhaut führt?
Was ist beim Wundverschluss bei einer H-Plastik zu beachten?
Welche der folgenden Aussagen ist korrekt?
1)Welche Aussage über das Vorkommen von Linsenveränderungen bei Kaninchen ist richtig?
Welches bildgebende Verfahren liefert die besten Informationen zu Weichteilen?
Ein Springer Spaniel wird mit einem akut schmerzhaften Auge vorgestellt. Bei der Untersuchung des Auges wird ein Fremdköper in der Hornhaut und eine Miose festgestellt.
Welches sollte der nächste diagnostische Schritt sein?

Was ist in der folgenden Abbildung markiert?
Sie diagnostizieren einen Patienten mit Uveitis. Die Ursache der Uveitis ist (noch) nicht bekannt. Wie behandeln Sie diesen?
Was ist die häufigste Erblindungsursache bei der Katze?
Wenn Sie bei einer chronischen Bindehautentzündung eine Probe für die Bakteriologie entnehmen möchten, wo sollten Sie den Tupfer nehmen?
Das Prinzip des Applanationstonometers basiert auf:
Welche der folgenden Aussagen trifft zu? Bei der direkten Ophthalmoskopie aus der Distanz wird eine Trübung der Sehachse verursacht durch...
Welches klinische Symptom weist neben einem generalisierten Hornhautödem und Blindheit auf ein akutes Glaukom hin?
Was sollte bei einer Enukleation vermieden werden?
Ein Vorteil der fortlaufenden Hornhautnaht gegenüber Einzelknopfheften sind/ ist
Wie lautet die Schichtung der hinteren Bulbuswand von posterior nach anterior?
Je nach Tierart wird zwischen verschiedenen Gefäßmustern der retinalen Blutgefäße unterschieden. Welches Gefäßmuster findet man bei Hunden und Katzen?
Welche der folgenden Aussagen ist falsch?
Welches der folgenden Merkmale ist NICHT typisch bei einer okularen Chlamydophila-Infektion?
Kaninchen können an einer Vielzahl von Hornhauterkrankungen leiden. Welche der folgenden Aussagen trifft zu?
Welche der folgenden Aussagen über die Augenanatomie von Vögeln und Reptilien trifft zu?
Welche der folgenden Aussagen ist korrekt?
Bei wie viel Prozent der Tiere haben Williams und Heath bei ihrer Reihenuntersuchung an 1000 Meerschweinchen eine so genannte Ossäre Choristie beobachtet?
2) Um ein Fortschreiten des Einschmelzungsprozesses der Hornhaut bei einem Kollagenaseulkus zu verhindern, sollte folgendes Medikament verabreicht werden:
Die Untersuchung der Linse erfolgt bei Kleinsäugern möglichst in vollständiger Mydriase
Wie äußert sich der Ausfall der Blut-Kammerwasser-Schranke klinisch?
Was ist eine Nukleussklerose?
Mit welcher Erkrankung werden dendritische Hornhautdefekte bei Katzen am häufigsten assoziiert?
In welcher Verdünnung sollte Jodlösung zur Reinigung des Bindehautsacks eingesetzt werden?
In welchem der folgenden Fälle wäre eine Elektroretinografie sinnvoll?
Welcher der folgenden klinischen Befunde ist kein Anzeichen für Augenschmerzen?
Bei Katzen, denen das Augenpigment fehlt, wie z. B. Himalaya-Katzen, sind die Choroidalgefäße aufgrund des Pigmentmangels in welcher der Fundusschichten sichtbar?
Welche der folgenden Aussagen zur Augenanatomie von Kaninchen trifft zu?
Wie viel Prozent der Katzen mit systemischer Hypertonie weisen eine hypertensive Retinopathie auf?
Wann ist die Verwendung eines Lokalanästhetikums nicht indiziert?
Die Augenlidmuskulatur wird von Ästen des Nervus facialis (CN VII) innerviert. Eine Lähmung des N. facialis führt dazu, dass das Auge nicht mehr geschlossen werden kann. Welche der folgenden Symptome treten bei klinisch betroffenen Patienten auf?
Was sind häufige Ursachen für ein Glaukom?
Die Schädigung welches Nervs führt zu Ptosis?
Welche Lösung kann bei Katzen am besten für die Entfernung von mukösem Exsudat von der Augenoberfläche verwendet werden?
Die Überprüfung der Drohanwort, des Blend- und Pupillarreflexes wird bei Kleinsäugern und Reptilien
Bitte vervollständigen Sie den Satz: Der Glaskörper ist an der hinteren Linsenkapsel am _________ befestigt.
Ein junger Cockerspaniel ist auf die Straße gelaufen und von einem Auto angefahren worden. Sie finden ein totales Hyphäma des rechten Auges vor mit Ausbleiben von Drohreaktion, Blendreflex und konsensuellem Pupillarreflex (von rechts nach links). Er weist eine subkonjunktivale Blutung auf, aber keine tastbaren Orbitafrakturen, kein Emphysem oder Krepitus. Die übrige klinische Untersuchung ist o.b.B. Was wäre der geeignetste nächste diagnostische Schritt?
Welche Symptome sind typisch für ein trockenes Auge?
Welche der folgenden systemischen Erkrankungen der Katze ist regelmäßig mit einer Netzhautablösung assoziiert?
1)Für welche der folgenden Methoden der Tonometrie in der Tiermedizin ist keine lokale Betäubung erforderlich?
Welche der folgenden Aussagen über die Anatomie des Augapfels und der Augenhöhle von Vögeln ist falsch?
Heterotopische Knochenbildung beim Meerschweinchen entwickelt sich in welchen Augengeweben?
Was sind die Hauptrisiken eines unzureichenden Einschmierens der Augen bei anästhesierten Mäusen?
Welche der folgenden klinischen Symptome treten bei einer akuten Uveitis bei Katzen wahrscheinlich auf?
Welche der folgenden Aussagen über den Fundus der Reptilien trifft zu?
Was sind häufige Komplikationen eines orbitalen Abszesses?
1)Ein Fluoreszeintest wird häufig genutzt, um Hornhautulzerationen zu diagnostizieren. Wie kann seine Funktionsweise am besten beschrieben werden?
Bei Katzen mit „Katzenschnupfen" kann die Augenoberfläche mit betroffen sein. Welche Aussage hinsichtlich Klinik und Diagnostik stimmt in dieser Situation?
1)Wo kann man im Auge kein organisiertes Lymphgewebe finden?
Welches der folgenden Arzneimittel wird bei einer Infektion mit Chlamydia felis empfohlen?
Was ist Phototropismus?

Dies ist eine Katze mit einem dendritischen Ulkus. Der fluoreszinpositive Ulkus verläuft linear mit Verzweigungen.
Für welche Infektion ist dies Bild pathognomonisch?
Welche Aussage über Albino-Nager ist falsch?
Hornhautsequester bei der Katze ...
Wenn ein Vogel eine periokulare und konjunktivale Schwellung mit Augenausfluss aufweist, welche der folgenden Punkte würden Sie als Differentialdiagnose oder als mitwirkenden Faktor bei Krankheiten wie Pockenvirus-Blepharitis oder Sinusitis in Betracht ziehen?
Welche der folgenden Aussagen zur Funduskopie bei exotischen Arten trifft zu?
Welcher der folgenden Strukturen nimmt den Farbstoff Fluoreszin an?
Was markiert die physiologische Grube in der Mitte des Discus opticus bei Hunden?
Was ist typisch für ein Entropion?
Was ist häufig Ursache einer primären Uveitis bei Katzen?

Ein 7-jähriger Border Terrier wird mit einem akut schmerzhaften rechten Auge vorgestellt (siehe Foto). Der Hund hatte vorberichtlich bisher keine
Augenveränderungen. Wie lautet die primäre Diagnose?
Wann ist es nicht indiziert, einen Schirmer-Tränen-Test durchzuführen?
Welche Untersuchung ist am hilfreichsten bei der Glaukom Behandlung?
Ordnen Sie die aufgelisteten Virustatika nach absteigender Effektivität gegen das Feline Herpesvirus.
1)Ein Patientenbesitzer ruft in Ihrer Praxis an und beschriebt, dass ihr 2 Jahre Alter Spaniel ein rotes und hervorstehendes Auge hat. Der Hund kann das Auge nicht schließen, da die Augenlider erscheinen hinter dem Äquator des Augapfels eingerollt zu sein. Sie haben auch das folgende Photo geschickt. Was ist Ihre Verdachtsdiagnose?

Welcher Erreger verursacht oftmals rötliche Tränen (Chromodacryrrhoe) bei Ratten?
Welche Fundusveränderung ist typisch für eine chronische oder abgeheilte Chorioretinits?
Wegen welches Augenbefundes werden hypertensive Katzen meist vorgestellt?
Ein Irismelanom...
Was sind die häufigsten Ursachen für eine Orbita Erkrankung?
Was ist der Unterschied zwischen konjunktivalen und episkleralen Gefäßen?
Welche der folgenden Aussagen stimmt?
Bei der Hornhautnaht sollte der Einstich der Nadel im
Welcher Teil des Tränenfilms wird von den Meibom-Drüsen bereitgestellt?
Welche Lösung kann bei Kaninchen mit Dacryozystitis am besten für die Entfernung von pappigem oder eitrigem Exsudat von der Augenoberfläche verwendet werden?
Welche lokal angewandten Medikamente bzw. Wirkstoffgruppen senken den Augeninnendruck der an Glaukom erkrankten Katze zuverlässig und in einem klinisch relevanten Masse?
1)Für die Untersuchung des Augenhintergrundes ist es essentiell, die Pupillen des Patienten weitzustellen. Welches Mydriatikum sollte hierfür verwendet werden?
Welche der folgenden Behandlungen ist bei einer Bindehautüberwucherung beim Kaninchen nicht geeignet?
Nennen Sie einen Vorteil der direkten Ophthalmoskopie gegenüber der indirekten Ophthalmoskopie
Welche OP-Methode eignet sich NICHT zur Versorgung eines tiefen Hornhautulkus?
Welche Symptome treten bei Hunden mit retrobulbären Abszessen auf?
Welche der folgenden Aussagen ist richtig?
Was ist die häufigste Art von Lidtumoren bei Katzen?
Eine Nukleosklerose ist bei 50 % aller Katzen ab welchem Alter zu beobachten?
Welche anatomischen Befunde lassen sich am Augenhintergrund eines gesunden Hundes beobachten?
Ordnen Sie die folgenden anatomischen Strukturen der Reihe nach, dem Strahlengang des Untersuchungslichts folgend:
Welche Untersuchungen sollten routinemaßig bei Verdacht auf ein trockenes Auge durchgeführt werden?
Folgende Aussage trifft auf die Katarakt zu:
Eine Konjunktivitis catarrhalis kann generell durch nicht infektiöse Reize wie Pollen, Staub und Windzug ausgelöst werden. Welche Noxe ist aber meist bei der Katze beteiligt?
Durch was wird eine Dacryozystitis beim Kaninchen häufig hervorgerufen und was ist die Prognose?
Der Sphinctermuskel der Iris wird hauptsächlich von welchen der folgenden Fasern versorgt?
Welche klinischen Symptome verursacht das Sialodacryoadenitis-Virus bei Ratten?