Flashcard Info

Here you can learn everything about this flashcard

Differenzierung Blutausstrich



Multiple choice cards
Normal cards
Cards total
Category
Language
From

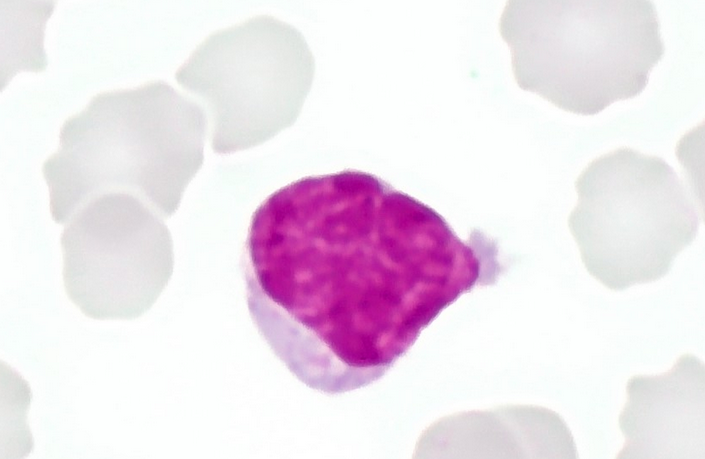
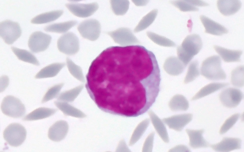
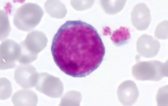
Lymphozyt

Lymphozyt

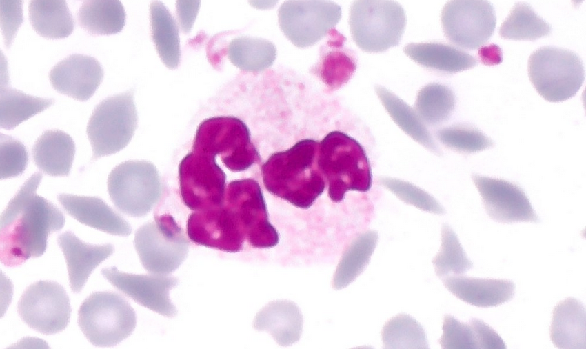
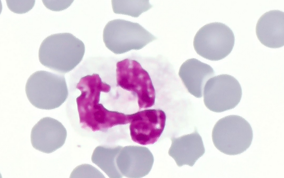
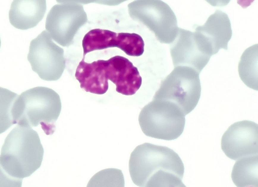
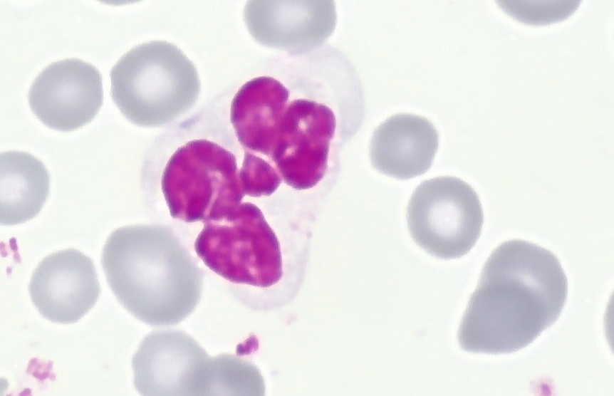
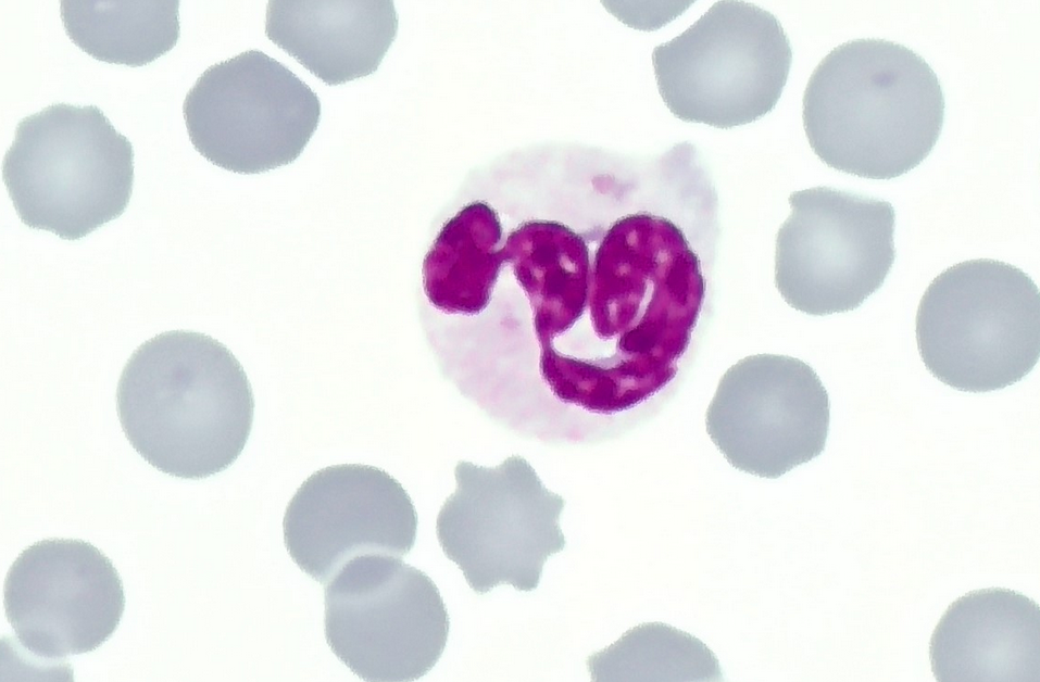
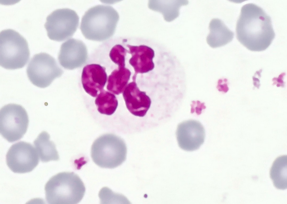
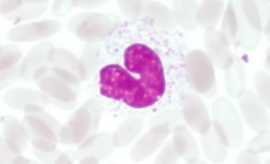
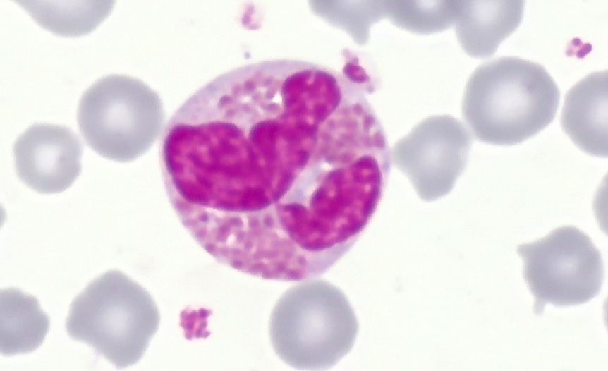
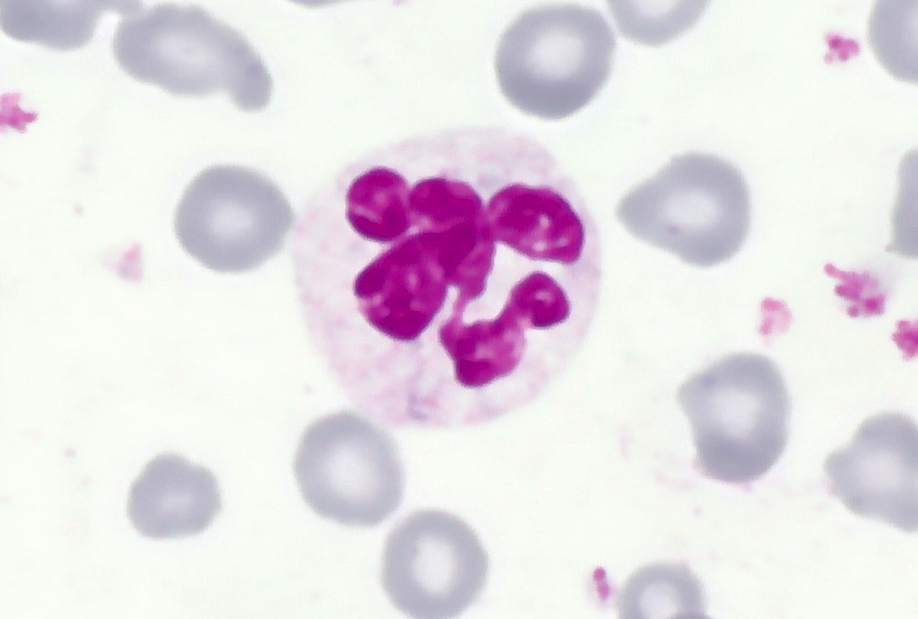
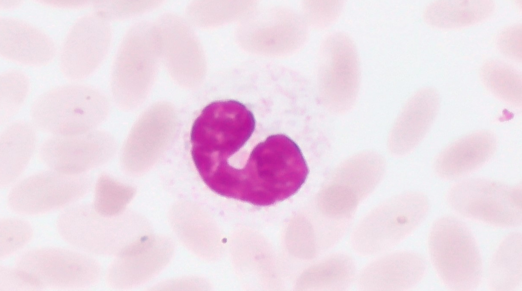
Segmentkerniger Granulozyt

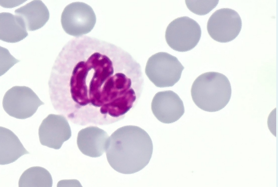
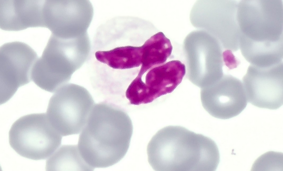
Segmentkerniger Granulozyt

Eosinophiler Granulozyt

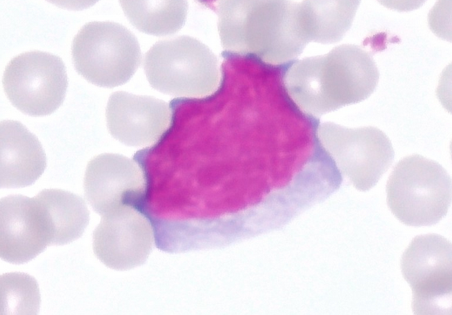
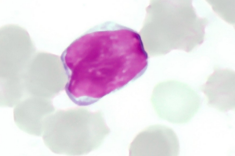
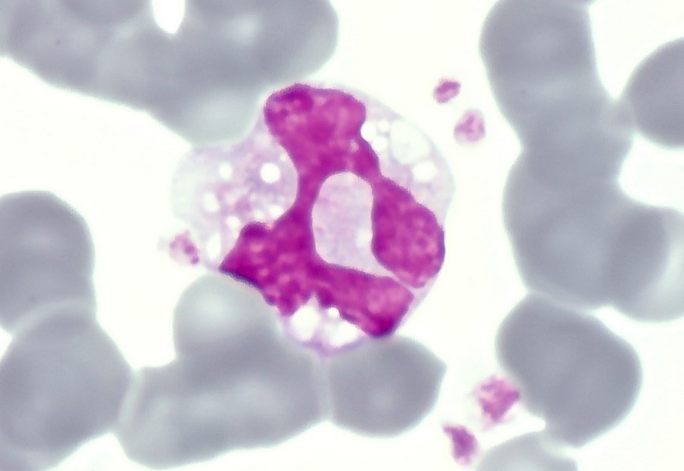
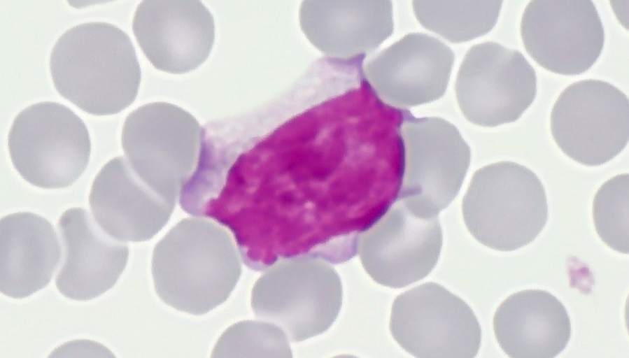
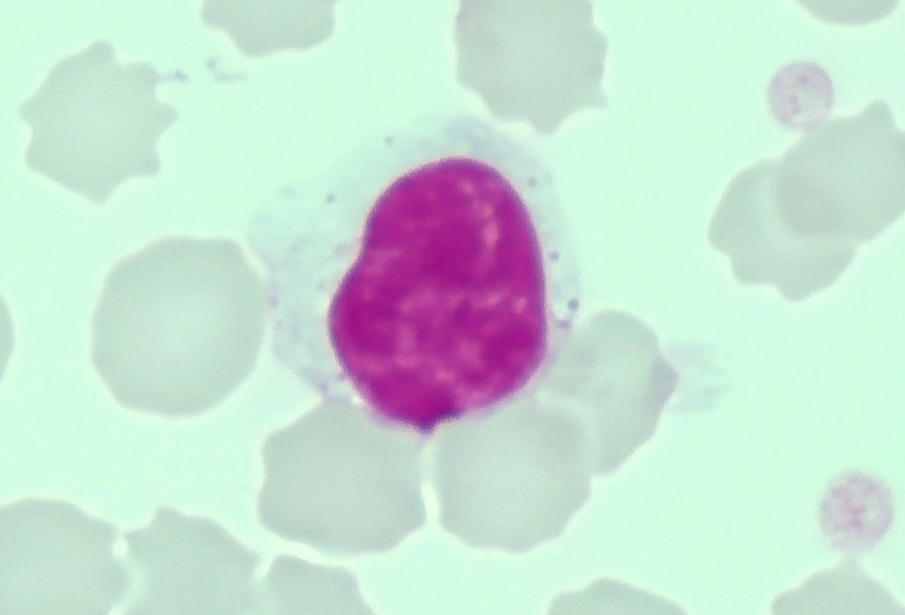
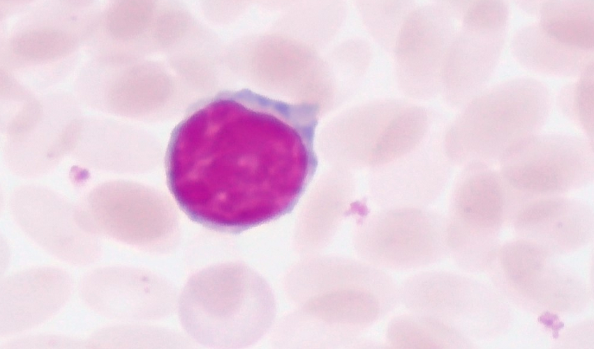
Monozyt

Basophiler Granulozyt

Lymphozyt

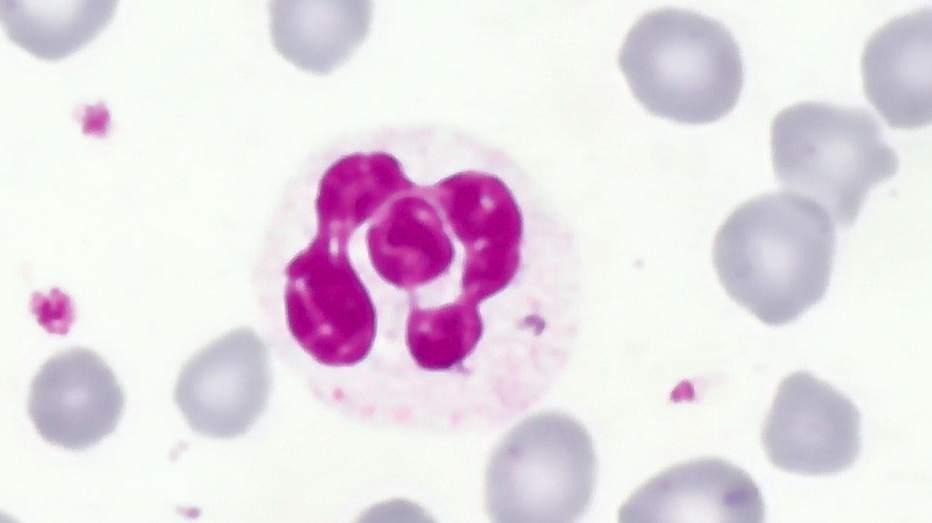
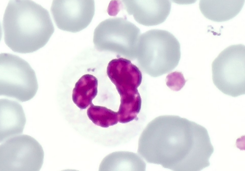
Segmentkerniger Granulozyt

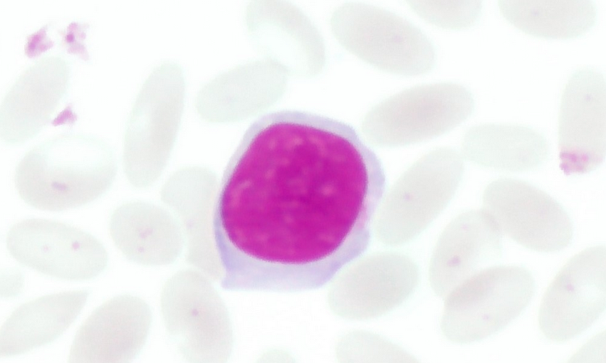
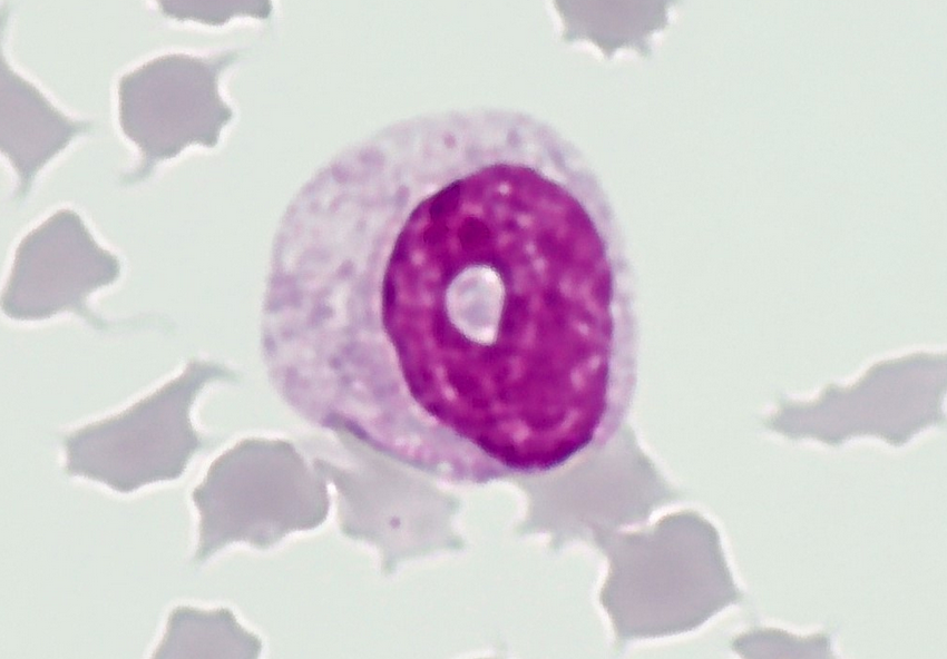
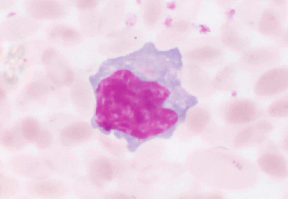
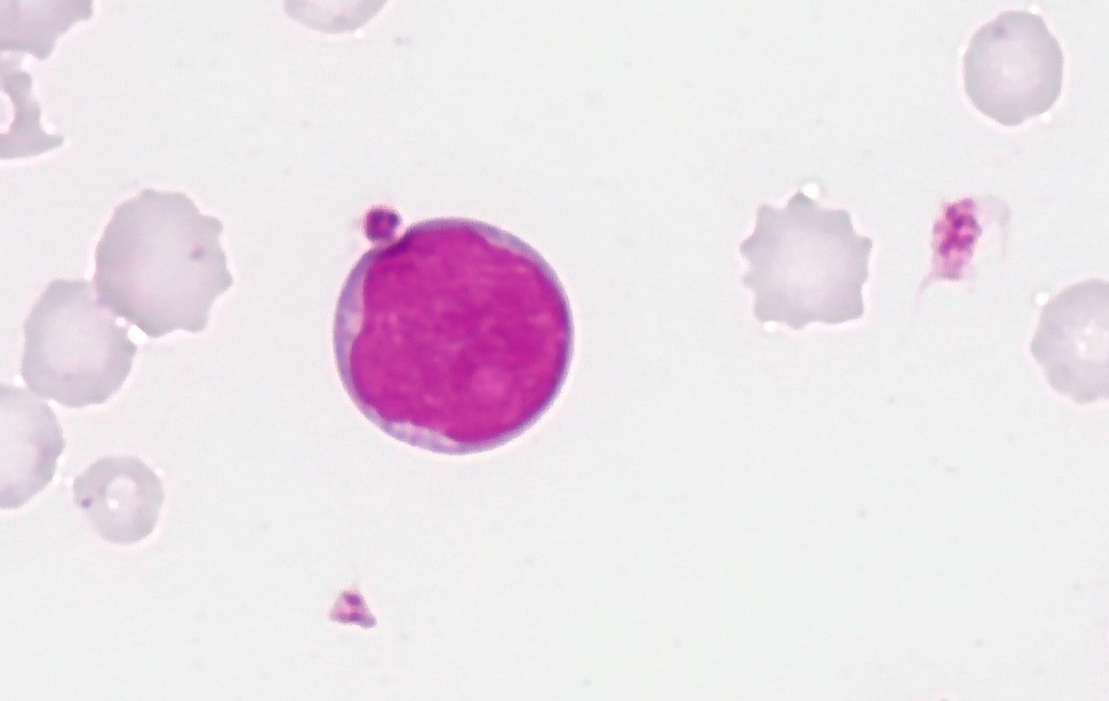
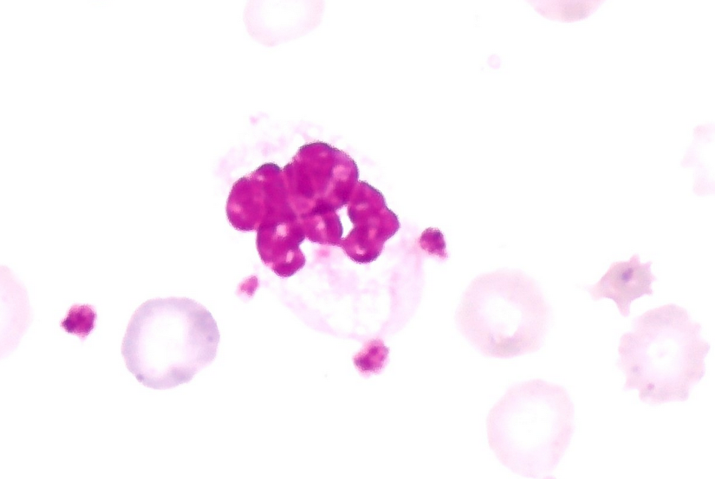
Normoblast

Lymphozyt

Lymphozyt

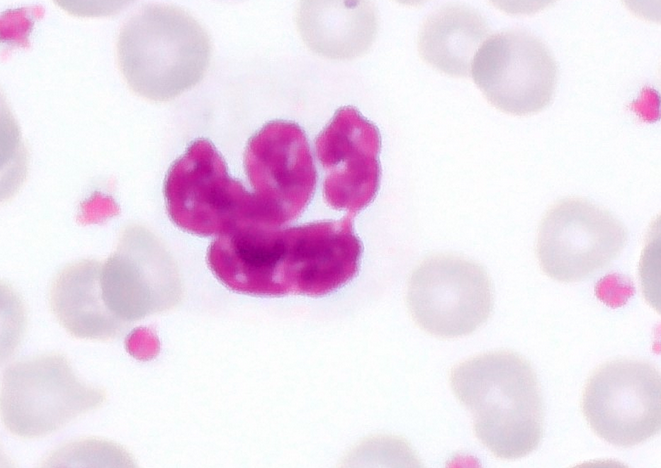
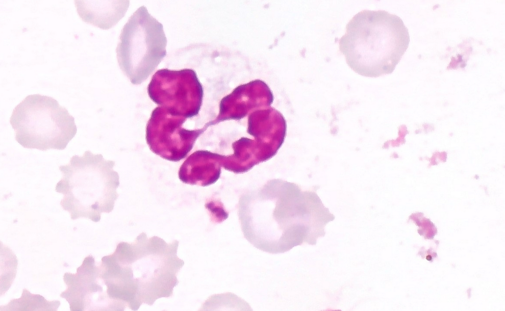
Segmentkerniger Granulozyt

Segmentkerniger Granulozyt

Segmentkerniger Granulozyt

Segmentkerniger Granulozyt

Lymphozyt

Segmentkerniger Granulozyt

Lymphozyt

Segmentkerniger Granulozyt

Lymphozyt

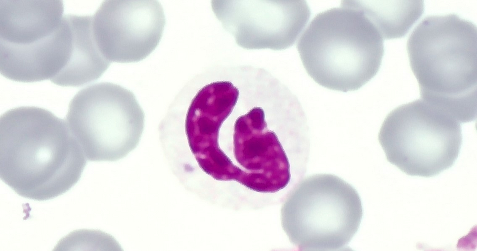
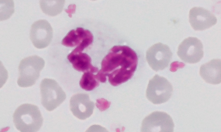
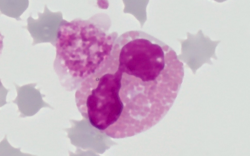
Stabkerniger Granulozyt

Segmentkerniger Granulozyt

Segmentkerniger Granulozyt

Lymphozyt

Lymphozyt

Segmentkerniger Granulozyt

Normoblast

Stabkerniger Granulozyt

Stabkerniger Granulozyt

Stabkerniger Granulozyt

Lymphozyt

Normoblast

Lymphozyt

Segmentkerniger Granulozyt

Segmentkerniger Granulozyt

Stabkerniger Granulozyt

Monozyt

Segmentkerniger Granulozyt

Metamyelozyt

Lymphozyt

Segmentkerniger Granulozyt

Lymphozyt

Segmentkerniger Granulozyt

Lymphozyt

Segmentkerniger Granulozyt

Eosinophiler Granulozyt

Stabkerniger Granulozyt

Lymphozyt

Stabkerniger Granulozyt

Segmentkerniger Granulozyt

Lymphozyt

Segmentkerniger Granulozyt

Segmentkerniger Granulozyt

Segmentkerniger Granulozyt

Segmentkerniger Granulozyt

Lymphozyt

Segmentkerniger Granulozyt

Lymphozyt

Segmentkerniger Granulozyt

Segmentkerniger Granulozyt

Lymphozyt

Segmentkerniger Granulozyt

Segmentkerniger Granulozyt

Segmentkerniger Granulozyt

Lymphozyt

Segmentkerniger Granulozyt

Lymphozyt

Lymphozyt

Eosinophiler Granulozyt

Lymphozyt

Segmentkerniger Granulozyt

Lymphozyt

Eosinophiler Granulozyt

Stabkerniger Granulozyt

Segmentkerniger Granulozyt

Segmentkerniger Granulozyt

Stabkerniger Granulozyt

Normoblast

Segmentkerniger Granulozyt

Stabkerniger Granulozyt

Segmentkerniger Granulozyt

Lymphozyt

Segmentkerniger Granulozyt

Segmentkerniger Granulozyt

Stabkerniger Granulozyt

Segmentkerniger Granulozyt

Segmentkerniger Granulozyt

Lymphozyt

Stabkerniger Granulozyt

Lymphozyt

Segmentkerniger Granulozyt

Monozyt

Segmentkerniger Granulozyt

Segmentkerniger Granulozyt

Lymphozyt

Lymphozyt

Stabkerniger Granulozyt

Segmentkerniger Granulozyt

Lymphozyt

Segmentkerniger Granulozyt

Segmentkerniger Granulozyt

Eosinophiler Granulozyt

Segmentkerniger Granulozyt

Lymphozyt

Lymphozyt

Stabkerniger Granulozyt

Lymphozyt

Segmentkerniger Granulozyt

Lymphozyt

Lymphozyt

Segmentkerniger Granulozyt

Segmentkerniger Granulozyt

Segmentkerniger Granulozyt

Segmentkerniger Granulozyt

Segmentkerniger Granulozyt

Metamyelozyt

Segmentkerniger Granulozyt

Segmentkerniger Granulozyt

Lymphozyt

Lymphozyt

Thrombozytenaggregat

Segmentkerniger Granulozyt

Segmentkerniger Granulozyt

Lymphozyt

Lymphozyt

Lymphozyt

Lymphozyt

Lymphozyt

Normoblast

Stabkerniger Granulozyt

Segmentkerniger Granulozyt

Stabkerniger Granulozyt

Segmentkerniger Granulozyt

Stabkerniger Granulozyt

Eosinophiler Granulozyt

Segmentkerniger Granulozyt

Lymphozyt

Segmentkerniger Granulozyt

Lymphozyt

Metamyelozyt

Segmentkerniger Granulozyt

Segmentkerniger Granulozyt

Metamyelozyt

Metamyelozyt

Segmentkerniger Granulozyt

Lymphozyt

Stabkerniger Granulozyt

Lymphozyt

Segmentkerniger Granulozyt

Segmentkerniger Granulozyt

Normoblast

Lymphozyt

Segmentkerniger Granulozyt

Segmentkerniger Granulozyt

Eosinophiler Granulozyt

Segmentkerniger Granulozyt

Lymphozyt

Monozyt

Segmentkerniger Granulozyt

Metamyelozyt

Segmentkerniger Granulozyt

Normoblast

Basophiler Granulozyt

Stabkerniger Granulozyt

Segmentkerniger Granulozyt

Lymphozyt

Metamyelozyt

Segmentkerniger Granulozyt

Segmentkerniger Granulozyt

Basophiler Granulozyt

Basophiler Granulozyt

Segmentkerniger Granulozyt

Lymphozyt

Segmentkerniger Granulozyt

Segmentkerniger Granulozyt

Segmentkerniger Granulozyt

Lymphozyt

Segmentkerniger Granulozyt

Segmentkerniger Granulozyt

Segmentkerniger Granulozyt

Lymphozyt

Monozyt

Stabkerniger Granulozyt

Lymphozyt

Lymphozyt

Lymphozyt

Stabkerniger Granulozyt

Segmentkerniger Granulozyt

Stabkerniger Granulozyt

Lymphozyt

Segmentkerniger Granulozyt

Stabkerniger Granulozyt

Segmentkerniger Granulozyt

Segmentkerniger Granulozyt

Metamyelozyt

Lymphozyt

Segmentkerniger Granulozyt

Lymphozyt

Segmentkerniger Granulozyt

Monozyt

Stabkerniger Granulozyt

Stabkerniger Granulozyt

Segmentkerniger Granulozyt

Segmentkerniger Granulozyt

Lymphozyt

Segmentkerniger Granulozyt

Stabkerniger Granulozyt

Thrombozytenaggregat

Segmentkerniger Granulozyt

Stabkerniger Granulozyt

Segmentkerniger Granulozyt

Eosinophiler Granulozyt

Segmentkerniger Granulozyt

Lymphozyt

Stabkerniger Granulozyt

Eosinophiler Granulozyt

Segmentkerniger Granulozyt

Lymphozyt

Segmentkerniger Granulozyt

Segmentkerniger Granulozyt

Segmentkerniger Granulozyt

Segmentkerniger Granulozyt

Segmentkerniger Granulozyt

Segmentkerniger Granulozyt

Basophiler Granulozyt

Segmentkerniger Granulozyt

Eosinophiler Granulozyt

Lymphozyt

Segmentkerniger Granulozyt

Segmentkerniger Granulozyt

Stabkerniger Granulozyt

Lymphozyt

Lymphozyt

Segmentkerniger Granulozyt

Segmentkerniger Granulozyt

Segmentkerniger Granulozyt

Eosinophiler Granulozyt

Eosinophiler Granulozyt

Stabkerniger Granulozyt

Segmentkerniger Granulozyt

Stabkerniger Granulozyt

Segmentkerniger Granulozyt

Segmentkerniger Granulozyt

Segmentkerniger Granulozyt

Lymphozyt

Lymphozyt

Lymphozyt

Thrombozytenaggregat

Segmentkerniger Granulozyt

Eosinophiler Granulozyt

Segmentkerniger Granulozyt

Segmentkerniger Granulozyt

Lymphozyt

Segmentkerniger Granulozyt

Lymphozyt

Lymphozyt

Basophiler Granulozyt

Lymphozyt

Eosinophiler Granulozyt

Lymphozyt

Segmentkerniger Granulozyt

Lymphozyt

Segmentkerniger Granulozyt

Lymphozyt

Monozyt

Lymphozyt

Monozyt

Lymphozyt

Segmentkerniger Granulozyt

Lymphozyt

Segmentkerniger Granulozyt

Segmentkerniger Granulozyt

Segmentkerniger Granulozyt

Lymphozyt

Segmentkerniger Granulozyt

Lymphozyt

Metamyelozyt

Metamyelozyt

Lymphozyt

Stabkerniger Granulozyt

Lymphozyt

Lymphozyt

Segmentkerniger Granulozyt

Segmentkerniger Granulozyt

Segmentkerniger Granulozyt

Segmentkerniger Granulozyt

Segmentkerniger Granulozyt

Segmentkerniger Granulozyt

Metamyelozyt

Lymphozyt

Segmentkerniger Granulozyt

Lymphozyt

Segmentkerniger Granulozyt

Segmentkerniger Granulozyt

Lymphozyt

Segmentkerniger Granulozyt

Segmentkerniger Granulozyt

Myelozyt

Segmentkerniger Granulozyt

Stabkerniger Granulozyt

Lymphozyt

Myelozyt

Lymphozyt

Eosinophiler Granulozyt

Segmentkerniger Granulozyt

Lymphozyt

Metamyelozyt

Segmentkerniger Granulozyt

Segmentkerniger Granulozyt

Eosinophiler Granulozyt

Segmentkerniger Granulozyt

Segmentkerniger Granulozyt

Lymphozyt

Segmentkerniger Granulozyt

Segmentkerniger Granulozyt

Segmentkerniger Granulozyt

Segmentkerniger Granulozyt

Stabkerniger Granulozyt

Normoblast

Lymphozyt

Monozyt

Segmentkerniger Granulozyt

Segmentkerniger Granulozyt

Myelozyt

Segmentkerniger Granulozyt

Segmentkerniger Granulozyt

Lymphozyt

Stabkerniger Granulozyt

Segmentkerniger Granulozyt

Stabkerniger Granulozyt

Lymphozyt

Segmentkerniger Granulozyt

Segmentkerniger Granulozyt

Eosinophiler Granulozyt

Segmentkerniger Granulozyt

Segmentkerniger Granulozyt

Segmentkerniger Granulozyt

Lymphozyt

Segmentkerniger Granulozyt

Lymphozyt

Segmentkerniger Granulozyt

Eosinophiler Granulozyt

Lymphozyt

Lymphozyt

Monozyt

Segmentkerniger Granulozyt

Lymphozyt

Stabkerniger Granulozyt

Stabkerniger Granulozyt

Segmentkerniger Granulozyt

Segmentkerniger Granulozyt

Segmentkerniger Granulozyt

Segmentkerniger Granulozyt

Monozyt

Segmentkerniger Granulozyt

Lymphozyt

Segmentkerniger Granulozyt

Segmentkerniger Granulozyt

Metamyelozyt

Lymphozyt

Segmentkerniger Granulozyt

Normoblast

Lymphozyt

Monozyt

Segmentkerniger Granulozyt

Segmentkerniger Granulozyt

Lymphozyt

Lymphozyt

Lymphozyt

Segmentkerniger Granulozyt

Metamyelozyt

Segmentkerniger Granulozyt

Lymphozyt

Lymphozyt

Normoblast

Stabkerniger Granulozyt

Segmentkerniger Granulozyt

Segmentkerniger Granulozyt

Segmentkerniger Granulozyt

Stabkerniger Granulozyt

Monozyt

Stabkerniger Granulozyt

Lymphozyt

Segmentkerniger Granulozyt

Monozyt

Segmentkerniger Granulozyt

Lymphozyt

Lymphozyt

Lymphozyt

Segmentkerniger Granulozyt

Segmentkerniger Granulozyt

Segmentkerniger Granulozyt

Segmentkerniger Granulozyt

Segmentkerniger Granulozyt

Segmentkerniger Granulozyt

Segmentkerniger Granulozyt

Segmentkerniger Granulozyt

Segmentkerniger Granulozyt

Segmentkerniger Granulozyt

Lymphozyt

Segmentkerniger Granulozyt

Lymphozyt

Segmentkerniger Granulozyt

Lymphozyt

Lymphozyt

Lymphozyt

Lymphozyt

Eosinophiler Granulozyt

Lymphozyt

Normoblast

Segmentkerniger Granulozyt

Stabkerniger Granulozyt

Segmentkerniger Granulozyt

Lymphozyt

Segmentkerniger Granulozyt

Stabkerniger Granulozyt

Stabkerniger Granulozyt

Lymphozyt

Lymphozyt

Segmentkerniger Granulozyt

Segmentkerniger Granulozyt

Stabkerniger Granulozyt

Segmentkerniger Granulozyt

Lymphozyt

Segmentkerniger Granulozyt

Segmentkerniger Granulozyt

Segmentkerniger Granulozyt

Myelozyt

Segmentkerniger Granulozyt

Metamyelozyt

Segmentkerniger Granulozyt

Segmentkerniger Granulozyt

Segmentkerniger Granulozyt

Segmentkerniger Granulozyt

Lymphozyt

Lymphozyt

Stabkerniger Granulozyt

Segmentkerniger Granulozyt

Lymphozyt

Segmentkerniger Granulozyt

Lymphozyt

Segmentkerniger Granulozyt

Stabkerniger Granulozyt

Lymphozyt

Segmentkerniger Granulozyt

Metamyelozyt

Segmentkerniger Granulozyt

Segmentkerniger Granulozyt

Metamyelozyt

Segmentkerniger Granulozyt

Segmentkerniger Granulozyt

Segmentkerniger Granulozyt

Segmentkerniger Granulozyt

Metamyelozyt

Segmentkerniger Granulozyt

Stabkerniger Granulozyt

Lymphozyt

Segmentkerniger Granulozyt

Lymphozyt

Lymphozyt

Segmentkerniger Granulozyt

Stabkerniger Granulozyt

Lymphozyt

Basophiler Granulozyt

Eosinophiler Granulozyt

Segmentkerniger Granulozyt

Stabkerniger Granulozyt

Segmentkerniger Granulozyt

Segmentkerniger Granulozyt

Segmentkerniger Granulozyt

Segmentkerniger Granulozyt

Segmentkerniger Granulozyt

Segmentkerniger Granulozyt

Segmentkerniger Granulozyt

Segmentkerniger Granulozyt

Segmentkerniger Granulozyt

Stabkerniger Granulozyt

Lymphozyt

Lymphozyt

Eosinophiler Granulozyt

Segmentkerniger Granulozyt

Segmentkerniger Granulozyt

Segmentkerniger Granulozyt

Segmentkerniger Granulozyt

Segmentkerniger Granulozyt

Lymphozyt

Segmentkerniger Granulozyt

Segmentkerniger Granulozyt

Segmentkerniger Granulozyt

Monozyt

Lymphozyt

Thrombozytenaggregat

Metamyelozyt

Lymphozyt

Stabkerniger Granulozyt

Segmentkerniger Granulozyt

Lymphozyt

Segmentkerniger Granulozyt

Lymphozyt

Segmentkerniger Granulozyt

Segmentkerniger Granulozyt

Segmentkerniger Granulozyt

Thrombozytenaggregat

Segmentkerniger Granulozyt

Eosinophiler Granulozyt

Monozyt

Lymphozyt

Lymphozyt

Lymphozyt

Lymphozyt

Eosinophiler Granulozyt

Segmentkerniger Granulozyt

Lymphozyt

Lymphozyt

Segmentkerniger Granulozyt

Lymphozyt

Segmentkerniger Granulozyt

Stabkerniger Granulozyt

Segmentkerniger Granulozyt

Segmentkerniger Granulozyt

Lymphozyt

Segmentkerniger Granulozyt

Segmentkerniger Granulozyt

Normoblast

Lymphozyt

Segmentkerniger Granulozyt

Lymphozyt

Lymphozyt

Segmentkerniger Granulozyt

Lymphozyt

Metamyelozyt

Monozyt

Segmentkerniger Granulozyt

Lymphozyt

Eosinophiler Granulozyt

Segmentkerniger Granulozyt

Stabkerniger Granulozyt

Segmentkerniger Granulozyt

Stabkerniger Granulozyt

Lymphozyt

Segmentkerniger Granulozyt

Segmentkerniger Granulozyt

Lymphozyt

Stabkerniger Granulozyt

Segmentkerniger Granulozyt

Lymphozyt

Segmentkerniger Granulozyt

Monozyt

Lymphozyt

Segmentkerniger Granulozyt

Segmentkerniger Granulozyt

Lymphozyt

Segmentkerniger Granulozyt

Lymphozyt

Stabkerniger Granulozyt

Lymphozyt

Basophiler Granulozyt

Segmentkerniger Granulozyt

Metamyelozyt

Segmentkerniger Granulozyt

Myelozyt

Segmentkerniger Granulozyt

Stabkerniger Granulozyt

Segmentkerniger Granulozyt

Segmentkerniger Granulozyt

Lymphozyt

Segmentkerniger Granulozyt

Segmentkerniger Granulozyt

Lymphozyt

Lymphozyt

Segmentkerniger Granulozyt

Segmentkerniger Granulozyt

Segmentkerniger Granulozyt

Lymphozyt

Segmentkerniger Granulozyt

Segmentkerniger Granulozyt

Monozyt

Segmentkerniger Granulozyt

Segmentkerniger Granulozyt

Lymphozyt

Lymphozyt

Lymphozyt

Segmentkerniger Granulozyt

Metamyelozyt

Normoblast

Normoblast

Normoblast

Lymphozyt

Segmentkerniger Granulozyt

Segmentkerniger Granulozyt

Lymphozyt

Eosinophiler Granulozyt

Myelozyt

Lymphozyt

Metamyelozyt

Lymphozyt

Metamyelozyt

Segmentkerniger Granulozyt

Segmentkerniger Granulozyt

Segmentkerniger Granulozyt

Segmentkerniger Granulozyt

Segmentkerniger Granulozyt

Lymphozyt

Metamyelozyt

Segmentkerniger Granulozyt

Lymphozyt

Segmentkerniger Granulozyt

Stabkerniger Granulozyt

Segmentkerniger Granulozyt

Segmentkerniger Granulozyt

Lymphozyt

Lymphozyt

Lymphozyt

Segmentkerniger Granulozyt

Segmentkerniger Granulozyt

Lymphozyt

Eosinophiler Granulozyt

Segmentkerniger Granulozyt

Segmentkerniger Granulozyt

Segmentkerniger Granulozyt

Segmentkerniger Granulozyt

Lymphozyt

Segmentkerniger Granulozyt

Segmentkerniger Granulozyt

Segmentkerniger Granulozyt

Lymphozyt

Segmentkerniger Granulozyt

Lymphozyt

Stabkerniger Granulozyt

Lymphozyt

Stabkerniger Granulozyt

Segmentkerniger Granulozyt

Lymphozyt

Myelozyt

Segmentkerniger Granulozyt

Segmentkerniger Granulozyt

Metamyelozyt

Segmentkerniger Granulozyt

Lymphozyt

Segmentkerniger Granulozyt

Lymphozyt

Segmentkerniger Granulozyt

Lymphozyt

Lymphozyt

Stabkerniger Granulozyt

Segmentkerniger Granulozyt

Segmentkerniger Granulozyt

Stabkerniger Granulozyt

Segmentkerniger Granulozyt

Monozyt

Segmentkerniger Granulozyt

Segmentkerniger Granulozyt

Eosinophiler Granulozyt

Lymphozyt

Lymphozyt

Lymphozyt

Segmentkerniger Granulozyt

Segmentkerniger Granulozyt

Lymphozyt

Segmentkerniger Granulozyt

Stabkerniger Granulozyt

Lymphozyt

Lymphozyt

Eosinophiler Granulozyt

Normoblast

Stabkerniger Granulozyt

Segmentkerniger Granulozyt

Segmentkerniger Granulozyt

Segmentkerniger Granulozyt

Segmentkerniger Granulozyt

Segmentkerniger Granulozyt

Monozyt

Segmentkerniger Granulozyt

Stabkerniger Granulozyt

Lymphozyt

Lymphozyt

Normoblast

Lymphozyt

Lymphozyt

Lymphozyt

Segmentkerniger Granulozyt

Segmentkerniger Granulozyt

Lymphozyt

Eosinophiler Granulozyt

Stabkerniger Granulozyt

Metamyelozyt

Segmentkerniger Granulozyt

Lymphozyt

Lymphozyt

Lymphozyt

Segmentkerniger Granulozyt

Lymphozyt

Thrombozytenaggregat

Stabkerniger Granulozyt

Segmentkerniger Granulozyt

Segmentkerniger Granulozyt

Segmentkerniger Granulozyt

Lymphozyt

Stabkerniger Granulozyt

Lymphozyt

Lymphozyt

Segmentkerniger Granulozyt

Eosinophiler Granulozyt

Lymphozyt

Segmentkerniger Granulozyt

Segmentkerniger Granulozyt

Eosinophiler Granulozyt

Segmentkerniger Granulozyt

Lymphozyt

Stabkerniger Granulozyt

Segmentkerniger Granulozyt

Segmentkerniger Granulozyt

Lymphozyt

Segmentkerniger Granulozyt

Normoblast

Lymphozyt

Segmentkerniger Granulozyt

Lymphozyt

Segmentkerniger Granulozyt

Monozyt

Lymphozyt

Segmentkerniger Granulozyt

Monozyt

Segmentkerniger Granulozyt

Lymphozyt

Monozyt

Basophiler Granulozyt

Metamyelozyt

Normoblast

Segmentkerniger Granulozyt

 

Segmentkerniger Granulozyt

Lymphozyt

Stabkerniger Granulozyt

Segmentkerniger Granulozyt

Segmentkerniger Granulozyt

Segmentkerniger Granulozyt

Lymphozyt

Lymphozyt

Segmentkerniger Granulozyt

Segmentkerniger Granulozyt

Lymphozyt

Lymphozyt

Lymphozyt

Stabkerniger Granulozyt

Monozyt

Metamyelozyt

Lymphozyt

Lymphozyt

Lymphozyt

Lymphozyt

Lymphozyt

Lymphozyt

Segmentkerniger Granulozyt

Segmentkerniger Granulozyt

Segmentkerniger Granulozyt

Metamyelozyt

Stabkerniger Granulozyt

Stabkerniger Granulozyt

Segmentkerniger Granulozyt

Stabkerniger Granulozyt

Segmentkerniger Granulozyt

Segmentkerniger Granulozyt

Metamyelozyt

Lymphozyt

Segmentkerniger Granulozyt

Segmentkerniger Granulozyt

Segmentkerniger Granulozyt

Segmentkerniger Granulozyt

Lymphozyt

Stabkerniger Granulozyt

Normoblast

Segmentkerniger Granulozyt

Stabkerniger Granulozyt

Segmentkerniger Granulozyt

Segmentkerniger Granulozyt

Lymphozyt

Lymphozyt

Segmentkerniger Granulozyt

Segmentkerniger Granulozyt

Segmentkerniger Granulozyt

Segmentkerniger Granulozyt

Lymphozyt

Monozyt

Eosinophiler Granulozyt

Eosinophiler Granulozyt

Lymphozyt

Segmentkerniger Granulozyt

Segmentkerniger Granulozyt

Lymphozyt

Segmentkerniger Granulozyt

Segmentkerniger Granulozyt

Eosinophiler Granulozyt

Lymphozyt

Segmentkerniger Granulozyt

Segmentkerniger Granulozyt

Segmentkerniger Granulozyt

Lymphozyt

Lymphozyt

Lymphozyt

Basophiler Granulozyt

Stabkerniger Granulozyt

Segmentkerniger Granulozyt

Stabkerniger Granulozyt

Lymphozyt

Segmentkerniger Granulozyt

Segmentkerniger Granulozyt

Segmentkerniger Granulozyt

Stabkerniger Granulozyt

Segmentkerniger Granulozyt

Segmentkerniger Granulozyt

Segmentkerniger Granulozyt

Segmentkerniger Granulozyt

Lymphozyt

Segmentkerniger Granulozyt

Lymphozyt

Segmentkerniger Granulozyt

Lymphozyt

Lymphozyt

Lymphozyt

Segmentkerniger Granulozyt

Segmentkerniger Granulozyt

Segmentkerniger Granulozyt

Segmentkerniger Granulozyt

 

Segmentkerniger Granulozyt

Segmentkerniger Granulozyt

Lymphozyt

Lymphozyt

Segmentkerniger Granulozyt

Segmentkerniger Granulozyt

Lymphozyt

Lymphozyt

Segmentkerniger Granulozyt

Lymphozyt

Segmentkerniger Granulozyt

Lymphozyt

Stabkerniger Granulozyt

Eosinophiler Granulozyt

Stabkerniger Granulozyt

Segmentkerniger Granulozyt

Monozyt

Segmentkerniger Granulozyt

Lymphozyt

Segmentkerniger Granulozyt

Lymphozyt

Metamyelozyt

Segmentkerniger Granulozyt

Segmentkerniger Granulozyt

Segmentkerniger Granulozyt

Segmentkerniger Granulozyt

Segmentkerniger Granulozyt

Eosinophiler Granulozyt

Segmentkerniger Granulozyt

Metamyelozyt

Segmentkerniger Granulozyt

Lymphozyt

Thrombozytenaggregat

Segmentkerniger Granulozyt

Lymphozyt

Monozyt

Segmentkerniger Granulozyt

Lymphozyt

Segmentkerniger Granulozyt

Eosinophiler Granulozyt

Monozyt

Segmentkerniger Granulozyt

Segmentkerniger Granulozyt

Lymphozyt

Segmentkerniger Granulozyt

Segmentkerniger Granulozyt

Lymphozyt

Segmentkerniger Granulozyt

Segmentkerniger Granulozyt

Monozyt

Lymphozyt

Lymphozyt

Lymphozyt

Segmentkerniger Granulozyt

Lymphozyt

Segmentkerniger Granulozyt

Lymphozyt

Lymphozyt

Segmentkerniger Granulozyt

Eosinophiler Granulozyt

Segmentkerniger Granulozyt

Eosinophiler Granulozyt

Lymphozyt

Lymphozyt

Lymphozyt

Segmentkerniger Granulozyt

Lymphozyt

Lymphozyt

Stabkerniger Granulozyt

Segmentkerniger Granulozyt

Lymphozyt

Metamyelozyt

Lymphozyt

Segmentkerniger Granulozyt

Lymphozyt

Lymphozyt

Lymphozyt

Stabkerniger Granulozyt

Metamyelozyt

Lymphozyt

Segmentkerniger Granulozyt

Monozyt

Eosinophiler Granulozyt

Segmentkerniger Granulozyt

Segmentkerniger Granulozyt

Eosinophiler Granulozyt

Thrombozytenaggregat

Segmentkerniger Granulozyt

Stabkerniger Granulozyt

Segmentkerniger Granulozyt

Segmentkerniger Granulozyt

Eosinophiler Granulozyt

Segmentkerniger Granulozyt

Stabkerniger Granulozyt

Lymphozyt

Segmentkerniger Granulozyt

Segmentkerniger Granulozyt

Segmentkerniger Granulozyt

Normoblast

Lymphozyt

Monozyt

Lymphozyt

Lymphozyt

Segmentkerniger Granulozyt

Segmentkerniger Granulozyt

Segmentkerniger Granulozyt

Segmentkerniger Granulozyt

Stabkerniger Granulozyt

Monozyt

Eosinophiler Granulozyt

Lymphozyt

Eosinophiler Granulozyt

Lymphozyt

Segmentkerniger Granulozyt

Segmentkerniger Granulozyt

Segmentkerniger Granulozyt

Segmentkerniger Granulozyt

Segmentkerniger Granulozyt

Segmentkerniger Granulozyt

Lymphozyt

Lymphozyt

Lymphozyt

Segmentkerniger Granulozyt

Segmentkerniger Granulozyt

Lymphozyt

Stabkerniger Granulozyt

Segmentkerniger Granulozyt

Eosinophiler Granulozyt

Basophiler Granulozyt

Monozyt

Segmentkerniger Granulozyt

Segmentkerniger Granulozyt

Lymphozyt

Monozyt

Lymphozyt

Lymphozyt

Segmentkerniger Granulozyt

Lymphozyt

Segmentkerniger Granulozyt

Segmentkerniger Granulozyt

Lymphozyt

Lymphozyt

Lymphozyt

Segmentkerniger Granulozyt

Lymphozyt

Segmentkerniger Granulozyt

Segmentkerniger Granulozyt

Segmentkerniger Granulozyt

Lymphozyt

Lymphozyt

Segmentkerniger Granulozyt

Lymphozyt

Lymphozyt

Segmentkerniger Granulozyt

Segmentkerniger Granulozyt

Lymphozyt

Segmentkerniger Granulozyt

Lymphozyt

Segmentkerniger Granulozyt

Myelozyt

Segmentkerniger Granulozyt

Stabkerniger Granulozyt

Segmentkerniger Granulozyt

Segmentkerniger Granulozyt

Segmentkerniger Granulozyt

Lymphozyt

Segmentkerniger Granulozyt

Segmentkerniger Granulozyt

Stabkerniger Granulozyt

Segmentkerniger Granulozyt

Lymphozyt

Stabkerniger Granulozyt

Segmentkerniger Granulozyt

Normoblast

Segmentkerniger Granulozyt

Segmentkerniger Granulozyt

Lymphozyt

Segmentkerniger Granulozyt

Segmentkerniger Granulozyt

Eosinophiler Granulozyt

Segmentkerniger Granulozyt

Lymphozyt

Segmentkerniger Granulozyt

Eosinophiler Granulozyt

Eosinophiler Granulozyt

Segmentkerniger Granulozyt

Stabkerniger Granulozyt

Eosinophiler Granulozyt

Lymphozyt

Eosinophiler Granulozyt

Eosinophiler Granulozyt

Monozyt

Lymphozyt

Segmentkerniger Granulozyt

Eosinophiler Granulozyt

Segmentkerniger Granulozyt

Segmentkerniger Granulozyt

Eosinophiler Granulozyt

Eosinophiler Granulozyt

Lymphozyt

Lymphozyt

Monozyt

Segmentkerniger Granulozyt

Normoblast

Normoblast

Segmentkerniger Granulozyt

Normoblast

Eosinophiler Granulozyt

Lymphozyt

Lymphozyt

Segmentkerniger Granulozyt

© 2026 MemoCard